大人の歯列矯正、始めるのに遅すぎることはない
「歯並びが気になるけど、もう大人だし今さら矯正するのは遅いかな...」
こんな風に思っている方、実はとても多いんです。歯並びの悩みは見た目だけでなく、噛み合わせや口腔内の健康にも大きく影響します。しかし、矯正治療は子どもの頃にするものというイメージが強く、大人になってからの矯正に踏み切れない方が少なくありません。
結論からお伝えすると、大人の歯列矯正は決して遅くありません。むしろ、近年では大人の矯正治療を受ける方が急増しています。厚生労働省の「患者調査」によると、1997年の歯列矯正患者数は1日あたり9,700人でしたが、2023年には31,400人と約3倍に増加しているのです。

- インビザラインとは?従来の矯正との違い
- インビザラインの治療の流れと期間
- インビザラインの費用と医療費控除
- クリンチェックとSmileViewで治療をシミュレーション
- インビザライン矯正の注意点とリスク
- こんな方にインビザラインがおすすめ
- インビザライン症例
- よくある質問
- まとめ:美しい歯並びで人生が変わる
インビザラインとは?従来の矯正との違い
「インビザライン」とは、透明で薄い素材でできたマウスピース型の矯正装置です。従来のワイヤー矯正とは異なり、目立たず周囲の人に矯正していることがほとんどわかりません。
アメリカのアライン・テクノロジー社が提供する製品で、世界80カ国以上、1000万人を超える方が利用しています(2021年5月現在)。年齢制限がなく、様々な不正咬合に対応しており、10代から治療を始めることができます。
インビザラインの最大の特徴は、透明で取り外し可能という点です。金属のブラケットやワイヤーを使わないため、見た目を気にせず矯正治療を受けられます。
どう思いますか?自分の笑顔に自信が持てないと、人間関係や仕事にも影響することがありますよね。インビザラインなら、矯正中でも自然な笑顔を保つことができます。
インビザラインのメリット
インビザライン矯正には、従来のワイヤー矯正にはない多くのメリットがあります。
- 装置が目立ちにくい(透明なので周囲にほとんど気づかれない)
- 取り外し可能(食事や歯磨きの際に外せる)
- お口の健康を良好な状態で保ちやすい
- 特別な場面で一時的に外すことができる
- アクティブな活動にも参加しやすい
- 歯並びをキレイにするための予測実現性に優れている
- 来院頻度は1〜2ヶ月に1回程度で済む(忙しい方に最適)
特に、矯正装置が目立つのが気になる方や、仕事上装置が目立つと困る方にとって、インビザラインは理想的な選択肢と言えるでしょう
-
インビザラインの治療の流れと期間
インビザライン治療は、一人ひとりの歯並びに合わせてカスタマイズされた計画に基づいて進められます。
治療の流れは大きく分けて5つのステップがあります。まずは初回相談で現状の歯並びを確認し、むし歯や歯周病のチェックを行います。次に精密検査でレントゲン撮影やお口の中の写真撮影、3Dスキャンなどを実施。その後、契約完了から約90日後に実際の治療がスタートします。
治療期間は症例の複雑さによって異なりますが、一般的には1〜3年程度です。月1回の来院からスタートし、その後徐々に2〜3ヶ月に1回の来院でも治療可能になります。
動的治療が終了した後は、歯の後戻りを防止するために保定装置(リテーナー)を装着してケアを続けます。アーブル歯科クリニックでは2年間のメンテナンス期間を設けています。
実は、治療期間中も普段の生活にほとんど支障がありません。食事の際にはマウスピースを外すので、好きなものを自由に食べられます。これは従来のワイヤー矯正では難しかったことです。
3Dデジタル技術による精密な治療計画
アーブル歯科クリニックでは、お口のデータを3Dで取得できる「デジタル印象採得装置(iTeroelement5D アイテロ)」を導入しています。
この最新技術により、従来の型取り方法と比べてより精密なマウスピースを作製することが可能になりました。粘土のような材料をお口に入れて固まるのを待つという不快な型取りが不要になり、お口の中をスキャンするだけで済みます。
また、取得したデータをもとに治療経過や治療終了までのシミュレーションを行うことができ、治療前に3Dアニメーションで確認できるのも大きな魅力です。

-
-
インビザラインの費用と医療費控除
矯正治療を検討する際に気になるのが費用面です。インビザライン矯正の費用は以下のようになっています。
-
-
項目 内容・説明 料金(税込) 精密検査 レントゲン撮影・口腔内写真撮影・歯型取り・歯列シミュレーションなど
治療計画を立てるために必要な検査。33,000円 インビザラインライト 前歯部の部分矯正に適したプラン。軽度の歯列不正に対応。
保証制度: 矯正日より2年間のうち1回まで追加制作費無料。495,000円 インビザラインフル 全顎矯正に対応するプラン。中等度〜重度の歯列不正に適応。
保証制度: 矯正日より5年間のうち2回まで追加制作費無料。
一括支払いの場合: 100,000円減額 → 825,000円。935,000円 歯並び調整料金 月1〜3回程度の調整料。 5,500円 経過観察・後戻り防止 矯正治療後の後戻り防止・経過観察(1〜3ヶ月に1回程度)。 3,300円 矯正のための抜歯 必要な場合のみ実施。 1歯 5,500円 保定装置 治療後の歯列保持のために使用。 33,000〜55,000円 -
インビザライン治療は自由診療となりますが、医療費控除の対象になります。
年間の医療費が10万円を超える場合は、確定申告により税金の還付を受けられる可能性があります。歯並び保証制度について
当院では、治療後の歯並びに安心をお届けするため、保証制度を設けています。
保証制度について
- インビザラインライト: 矯正日より2年間のうち1回は追加制作費無料
- インビザラインフル: 矯正日より5年間のうち2回は追加制作費無料
この保証制度により、万が一歯並びに後戻りが生じた場合でも、安心して再治療を受けることができます。
治療に関するリスク・副作用
どんな医療行為にもリスクや副作用はあります。インビザライン治療についても、正しく理解しておくべき点があります。
クリンチェックとSmileViewで治療をシミュレーション
インビザライン治療の大きな特徴として、治療前に最終的な歯並びを確認できる「クリンチェック」というシミュレーションシステムがあります。
クリンチェックは、矯正治療を行う前に「どのように歯が動くのか」をシミュレーションできるソフトです。患者さまの歯型のデータを3Dで取り込み、治療計画に基づいた治療シミュレーションを行い、それをもとにマウスピースの作製を行います。
立体的なシミュレーションを行えるクリンチェックでは、歯並びを様々な角度から確認することができるため、「角度を変えたい」「もっとこの歯を内側にしたい」などの気になる部分があれば、事前に細かなご要望を伝えることも可能です。
さらに、「SmileView」というスマホアプリを使えば、自分で簡単に矯正後の歯並びシミュレーションができます。スマホから専用サイトにアクセスし、笑った顔を自撮りするだけで、60秒以内に矯正した場合の歯並びを無料診断してくれるのです。
少しでも歯並びが気になる方は、まずSmileViewで自分の矯正後の姿をイメージしてみてはいかがでしょうか?
-
Smile View(スマイルビュー)
スマホで笑顔を撮影するだけで、矯正後の歯並びシミュレーションをAIが自動生成します。
📸 撮影の流れ【STEP1】 診断スタートをタップ
【STEP2】
・同意事項にチェックして「写真を撮影する」を選択
・歯が見えるように笑顔で自撮り
【STEP3】
AIが矯正した場合の笑顔イメージを無料診断します。
※メール入力はスキップ(キャンセル)しても診断結果はそのまま表示されます。何度でもお試し可能です。綺麗に診断されるための撮影ポイント
✅ 奥歯をしっかり噛んで笑顔に
上の歯がしっかり見えていると、AI診断の精度が高くなります。自然な笑顔で、歯を隠さないように意識しましょう.
✅ 下唇のカーブに沿って歯が並ぶのが理想
スマイルライン(歯のカーブ)が下唇のラインと自然に沿っていると、より美しい診断結果が得られます。※出っ歯など前後のズレが大きい症例では、診断表示がわかりにくいことがあります。
インビザライン矯正の注意点とリスク
-
-
どんな医療行為にもリスクや副作用はあります。インビザライン矯正も例外ではありません。治療を検討する際には、以下のような点に注意が必要です。
- マウスピースを1日20時間以上装着する必要がある(自己管理が重要)
- 最初は矯正装置による不快感、痛み等がある(数日間〜1、2週間で慣れることが多い)
- 歯の動き方には個人差があり、予想された治療期間が延長する可能性がある
- 装置が付いているため歯が磨きにくくなり、むし歯や歯周病のリスクが高まる
- 歯を動かすことにより歯根が吸収して短くなることがある
- 歯ぐきがやせて下がることがある
- ごくまれに歯が骨と癒着していて歯が動かないことがある
- ごくまれに歯を動かすことで神経が障害を受けて壊死することがある
特に重要なのは、マウスピースの装着時間です。インビザラインは1日20時間以上の装着が必要で、食事や歯磨きの時以外は常に装着する必要があります。自己管理ができない方には向かない治療法かもしれません。
また、矯正治療は一度始めると元の状態に戻すことは難しくなります。治療後も保定装置を指示通り使用しないと後戻りが生じる可能性が高くなるため、長期的な視点で治療に臨む必要があります。

-
こんな方にインビザラインがおすすめ
インビザラインは様々な方におすすめできる矯正方法ですが、特に以下のような方に適しています。
- 矯正装置が目立つのが気になる方
- 従来の矯正装置の見た目に抵抗がある方
- 周りの人にバレずに矯正治療を受けたい方
- 矯正中もお口を清潔に保ち、しっかりケアしたい方
- 矯正中も食事を楽しみたい方
- 最終的な歯並びを事前に確認したい方
- 仕事上、装置が目立つと困る方
- 矯正治療による痛みやしゃべりにくさが心配な方
- 金属アレルギーが心配な方
- 歯型取りが苦手な方
特に社会人の方は、仕事上の印象を気にする場面が多いものです。インビザラインなら、重要な会議やプレゼンテーションの際も自信を持って話すことができます。
また、歯科治療に恐怖心がある方や、従来の矯正装置の不快感に耐えられない方にとっても、インビザラインは比較的ストレスの少ない選択肢と言えるでしょう。
-
-
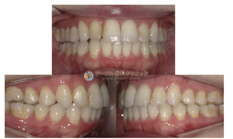
インビザライン症例 1
-

診断名 叢生 年齢 20代 治療期間 21ヶ月 治療回数 26回 抜歯部位 上下左右4番 治療装置 カスタムメイド型マウスピース矯正装置(インビザライン) 治療費 ¥750,000 + 消費税(来院時の歯並び調整費用 ¥5,000 + 消費税) リスク・副作用 - 口腔内・歯並びの状態によっては対応できない場合があります
- マウスピース型矯正装置の長時間装着(1日20時間以上)が必要です
- 治療計画通りに進めるために、患者様自身での装着管理が重要になります
- 矯正治療後の保定が必ず必要になります。不十分な場合は後戻りする可能性があります
- 自費診療(保険適用外)となります
-
インビザライン症例 2
-


診断名 一部反対咬合・前歯部の叢生 (改善するために歯の移動距離を4mm以上と診断) 年齢 19歳 治療期間 12ヶ月 治療回数 8回 抜歯部位 なし 治療装置 カスタムメイド型マウスピース矯正装置(インビザライン) 治療費 ¥750,000 + 消費税(来院時の歯並び調整費用 ¥5,000 + 消費税) リスク・副作用 - 口腔内・歯並びの状態によっては対応できない場合があります
- マウスピース型矯正装置の長時間装着(1日20時間以上)が必要です
- 治療計画通りに進めるために、患者様自身での装着管理が重要になります
- 矯正治療後の保定が必ず必要になります。不十分な場合は後戻りする可能性があります
- 自費診療(保険適用外)となります
-
インビザライン症例 3
-


診断名 開咬 叢生 (改善するために歯の移動距離を4mm以上と診断) 年齢 30歳 治療期間 27ヶ月 治療回数 16回 抜歯部位 なし 治療装置 カスタムメイド型マウスピース矯正装置(インビザライン) 治療費 ¥750,000 + 消費税(来院時の歯並び調整費用 ¥5,000 + 消費税) リスク・副作用 - 口腔内・歯並びの状態によっては対応できない場合があります
- マウスピース型矯正装置の長時間装着(1日20時間以上)が必要です
- 治療計画通りに進めるために、患者様自身での装着管理が重要になります
- 矯正治療後の保定が必ず必要になります。不十分な場合は後戻りする可能性があります
- 自費診療(保険適用外)となります
-
インビザラインファースト症例 (小児用マウスピース矯正)
-
-

診断名 上顎前突・叢生(小学生の混合歯列期の矯正治療) 年齢 10歳 治療期間 22ヶ月 治療回数 11回 抜歯部位 なし 治療装置 カスタムメイド型マウスピース矯正装置(インビザラインファースト) 治療費 ¥450,000 + 消費税(来院時の歯並び調整費用 ¥5,000 + 消費税) リスク・副作用 - 口腔内・歯並びの状態によっては対応できない場合があります
- マウスピース型矯正装置の長時間装着(1日20時間以上)が必要です
- 治療計画通りに進めるために、患者様自身での装着管理が重要になります
- 矯正治療後の保定が必ず必要になります。不十分な場合は後戻りする可能性があります
- 自費診療(保険適用外)となります
-
よくある質問
Q: インビザラインは何歳からできますか?
インビザラインは年齢制限がなく、10代から治療を始めることができます。大人の方はもちろん、永久歯が生えそろった10代後半の方も治療可能です。
Q: インビザラインの痛みはどの程度ですか?
従来のワイヤー矯正と比べると痛みは少ない傾向にあります。新しいマウスピースに交換した直後は軽い違和感や圧迫感を感じることがありますが、数日で慣れることが多いです。
Q: インビザラインは食事制限がありますか?
食事の際はマウスピースを外すため、食べ物の制限はありません。ただし、飲み物に関しては、着色の原因となるコーヒーや赤ワインなどを飲む際はマウスピースを外すことをおすすめします。
Q: インビザラインの治療期間はどのくらいですか?
症例の複雑さによって異なりますが、一般的には1〜3年程度です。軽度の歯列不正であれば、1年程度で治療が完了することもあります。
Q: インビザラインは保険が適用されますか?
一般的に矯正治療は保険適用外です。ただし、顎変形症など一部の症例では保険が適用される場合があります。また、矯正治療費は医療費控除の対象となります。
-
-
-
関連記事
まとめ:美しい歯並びで人生が変わる
大人の歯列矯正は決して遅くありません。むしろ、今は透明で取り外し可能なインビザラインという選択肢があり、見た目を気にせず矯正治療を受けることができる時代です。
インビザラインの最大の魅力は、透明で目立たないこと、取り外しが可能なこと、そして治療前に最終的な歯並びをシミュレーションで確認できることです。忙しい大人の方でも、来院頻度が少なく、日常生活への影響が最小限で済むのも大きなメリットと言えるでしょう。
もちろん、自己管理の必要性やコスト面など考慮すべき点もありますが、一生使う歯への投資と考えれば、その価値は計り知れません。
美しい歯並びは、見た目の印象を良くするだけでなく、噛み合わせの改善による健康面のメリットも大きいのです。
「今からでも間に合うの?」という問いの答えは、明確に「Yes」です。あなたの新しい笑顔があなたの人生をより豊かにするかもしれません。
当院では、インビザラインによる矯正治療の無料相談を行っています。少しでも気になる方は、アーブル歯科クリニックまでお気軽にご相談ください。

著者情報
- アーブル歯科クリニック 院長 田中 雄一
-
略歴
- 2007年日本大学松戸歯学部卒業
- 2007年日本大学松戸歯学部附属病院 臨床研修医
- 2008年~2014年一般開業医勤務
- 2014年アーブル歯科クリニック開院
-
所属団体
- 日本大学松戸歯学部有床義歯補綴学講座 非常勤
- 日本口腔インプラント学会
- 日本顎咬合学会
- 日本臨床歯周病学会
- AICインプラント専門医
- BPSデンチャークリニカル 認定医
- スウェーデン歯科学会
- 口腔感染症予防外来認定医
- POIC研究会 ホームケアアドバイザー認定
- 私立アスクかなでのもり第二保育園 嘱託医
- ブレーメン津田沼保育園 嘱託医
- リトルガーデンインターナショナルスクール新習志野校 嘱託医
- クニナ奏の杜保育園 嘱託医
- 習志野市立谷津小学校 学校歯科医
-
矯正医
- 田中 慶子
-
所属団体
- 日本矯正歯科学会 認定医
- インビザライン 認定医
-


























