子どもの歯並び改善にプレオルソが効果的な理由〜船橋市周辺の方へ
お子さんの歯並びが気になりはじめたら、早めの対策がとても大切です。
特に5〜10歳の成長期は、顎の骨や筋肉の発育が著しく、将来の歯並びやかみ合わせを左右する重要な時期です。この記事では、船橋市や周辺地域で注目されているプレオルソ矯正について、効果や特徴をわかりやすく解説します。

- 船橋市で注目のプレオルソ治療とは?子どもの歯並びを自然に整える矯正法
- プレオルソの適応年齢と治療の流れ〜船橋市でご検討中の方へ
- プレオルソ矯正と本格矯正の違い〜船橋市でご検討中の方へ
- 船橋市で注目のプレオルソで改善できる歯並びの問題
- プレオルソ矯正の費用と通院頻度〜船橋市でご検討中の方へ
- プレオルソ症例
- 船橋市の主要エリアから当院までのアクセス
- プレオルソに関するくある質問
- まとめ:船橋市で注目のプレオルソでお子さんの健やかな成長と早期の対応を
当院はママと子供の歯医者さん加盟医院です
ママとこどものはいしゃさんのロゴマークは厳しい審査基準をクリアした医院だけがつけている「安心・安全の歯科医院のシンボルマーク」です。
船橋市で注目のプレオルソ治療とは?子どもの歯並びを自然に整える矯正法
プレオルソとは、5〜10歳のお子さんを対象とした「歯列矯正用咬合誘導装置」です。シリコン素材でできた柔らかいマウスピース型の矯正装置で、お子さんの歯並びと咬み合わせを改善しながら、口呼吸から鼻呼吸への改善も促します。
一般的な矯正装置とは異なり、歯を直接動かすのではなく、口周りの筋肉のバランスを整えることで、顎の成長を促進させ、自然に歯列を拡大していく治療法です。
特に5〜7歳から始めると効果が高いとされており、顎の成長期を利用して歯並びの土台作りをするイメージです。船橋市内からお越しになるお子さんでも「ワイヤー矯正はまだ早い」「子どもが嫌がらない方法がいい」という声が多く、プレオルソの人気が高まっている印象です。
プレオルソ治療が向いているお子さん
プレオルソ治療は、以下のようなお子さんに特におすすめです。
-
-
- 軽度〜中度の歯列不正がある
- 口呼吸の癖がある
- 指しゃぶりなどの癖がある
- 将来の歯並びが心配
- 痛みの少ない矯正治療を希望している
-
ただし、重度の歯列不正の場合は、プレオルソだけでは完全に改善できないことも
-
プレオルソの4つのメリット
プレオルソには以下のようなメリットがあります:
- 柔らかく取り外しができるマウスピース式:シリコン素材で痛みがほとんどなく、食事時に外せるので虫歯のリスクも低減します。
- 学校に持っていく必要がない:家にいる時と寝る時だけ使用するので、学校生活に影響しません。
- 口周りの筋肉のバランスを整える:口呼吸から鼻呼吸への改善を促し、「お口ポカン」の改善に効果的です。
- 将来の矯正治療の負担軽減:顎の成長を促進させ、永久歯のためのスペースを確保することで、将来的に抜歯矯正が必要になるリスクを減らせます。
子どもの頃から適切な対応をすることで、将来的な矯正治療の負担を大きく減らせる可能性があります。これは時間的にも経済的にも大きなメリットといえるでしょう。

-
プレオルソの適応年齢と治療の流れ〜船橋市でご検討中の方へ
-
-
プレオルソの適応年齢は5〜10歳までです。この時期は顎の成長期にあたり、マウスピースの効果が最も発揮される時期です。特に早い段階から始めることで、より高い効果が期待できます。
10歳を過ぎると顎の成長が緩やかになるため、プレオルソの効果が得られにくくなります。お子さんの歯並びが気になり始めたら、まずは無料矯正相談でご相談ください。
治療の流れは以下のようになります:
- 初回カウンセリング(無料矯正相談)
- プレオルソ装置の作成と装着方法の説明
- 約2ヶ月に1回のペースでの調整
- 1年間の経過観察と効果の確認
- 必要に応じて再契約または次のステップへ
プレオルソの使用方法と注意点
プレオルソは基本的に、家にいる時間に1時間以上と就寝時に装着します。学校や外出時には装着する必要がないため、お子さんの日常生活への影響は最小限です。
ただし、以下のような点に注意が必要です:
- マウスピースを指示通りに装着しないと効果が出ません
- 細かな歯の移動はできないため、歯列不正が強い場合は本格矯正が必要になることもあります
- 顎の成長期(5〜10歳頃まで)を過ぎると効果が出にくくなります
お子さんがきちんと装着できるかどうかも成功の鍵となります。親御さんのサポートが大切です。
プレオルソ矯正と本格矯正の違い〜船橋市でご検討中の方へ
-
プレオルソと本格矯正には、いくつかの重要な違いがあります。どちらが適しているかは、お子さんの歯並びの状態や年齢によって異なります。
プレオルソは「機能矯正」と呼ばれ、口腔周囲の筋肉のバランスを整えることで顎の正しい成長を促し、結果として歯列不正を改善する方法です。一方、本格矯正は歯を直接動かして歯並びを改善します。
主な違いを表にまとめると以下のようになります:
- 適応年齢:プレオルソは5〜10歳の軽度の歯列不正に適応。本格矯正は7〜12歳のより重度の歯列不正に適応。
- 歯の動き方:プレオルソは筋肉バランスの改善による間接的な効果。本格矯正は歯を直接動かす。
- 装置の種類と使用方法:プレオルソは家にいる時と就寝時のみ使用。本格矯正は装置によって異なるが、より長時間の装着が必要。
- 矯正効果:プレオルソは歯列不正の程度によって効果が異なる。本格矯正はより確実に理想的な歯並びに改善できる。
軽度の歯列不正であれば、プレオルソで十分な効果が期待できます。しかし、歯列不正が強い場合や、より細かな歯の位置調整が必要な場合は、本格矯正が適しています。
本格矯正の種類と特徴
アーブル歯科クリニックでは、プレオルソ以外にも以下のような本格矯正を提供しています:
- カスタムメイド型マウスピース矯正(インビザライン):透明で目立たないマウスピース型の矯正装置。取り外し可能で、痛みが少ないのが特徴。
- 拡大床:取り外し式の装置で、ネジを回すことで歯列を拡大し、歯が生えるスペースを作る。
本格矯正の費用は、プランによって異なりますが、330,000円〜495,000円(税込)となっています。治療期間は約1年半から2年半で、その後、永久歯が生え揃うまで経過観察を行います。
どの矯正方法が最適かは、お子さんの歯列の状態や生活スタイルによって異なります。矯正専門医による精密な診断と、ご家族のご希望を考慮した上で最適な治療計画をご提案します。
-
拡大床 説明動画
インビザラインファースト 説明動画
プレオルソ矯正 拡大床(かくだいしょう) 小児本格矯正 適応年齢 5〜10歳頃のわずかな歯列不正に適応。簡易で始めやすい治療法。 6〜11歳頃の混合歯列期に適応。永久歯が生える前の「顎の幅不足」や「歯の重なり」に対応。 7〜12歳頃の中等度〜重度の歯列不正に適応。しっかり治す矯正法。 目的・特徴 「機能矯正」と呼ばれ、口腔周囲の筋肉のバランスを整えて顎の成長を正す。細かい歯の移動は行わない。 「顎の幅を広げる」ことを目的とした装置で、歯列弓を拡大し永久歯が並ぶスペースを確保する。主に上顎に使用。 歯を直接動かし、正確な歯並びを作る。永久歯が正しい位置に生えるスペースを確保する。 装置の種類・使用方法 シリコン製のマウスピースタイプ。
日中1時間以上+就寝時に使用。取り外し式のアクリル製装置。中央にスクリューがあり、週1〜2回ネジを回して少しずつ拡大する。
日中も装着推奨(食事・歯磨き時のみ取り外し)。固定式装置やワイヤー矯正、小児用インビザラインなど。
装着方法や管理は医院により異なる。治療効果 歯列アーチを広げ、顎の正しい成長を促す。
歯列の状態により効果に個人差あり。歯列の幅を広げ、叢生(重なり)や交叉咬合を予防。
将来的な本格矯正を簡略化できる場合もある。前歯から奥歯まで1本単位で整え、理想的な歯並びへ。
長期的に安定した結果が得られる。治療期間の目安 約1〜2年。成長期に合わせて使用継続。 約1〜1年半。拡大後は保定装置を使用して安定化を図る。 約2〜3年。永久歯列が完成するまで管理。 -
-
-
船橋市で注目のプレオルソで改善できる歯並びの問題
プレオルソは様々な歯並びの問題に対応することができます。特に軽度から中程度の以下のような歯列不正に効果的です:
- 上顎前突(出っ歯):上の前歯が前に突き出ている状態
- 下顎前突(受け口):下の歯が上の歯より前に出ている状態
- 叢生(八重歯・乱杭歯):歯が重なり合って生えている状態
- 開咬(前歯が閉じない):前歯が噛み合わない状態
- 過蓋咬合(噛み合わせが深い):上の前歯が下の前歯を深く覆っている状態
また、口呼吸や「お口ポカン」の改善にも効果があります。これらの問題は見た目だけでなく、将来的な健康問題にもつながる可能性があるため、早めの対応が重要です。
ただし、歯列不正が重度の場合や、より細かな歯の位置調整が必要な場合は、本格矯正が必要になることもあります。お子さんの状態に合わせた最適な治療法をご提案します。
歯並びが悪くなる原因とプレオルソの効果
歯並びが悪くなる原因はさまざまですが、主に以下のような要因が考えられます:
- 口呼吸:口呼吸が習慣化すると、お口周りの筋肉が弛緩し、歯に適切な圧力がかからなくなります。
- 口腔周囲の筋肉のバランスの乱れ:舌や頬、唇の筋肉のバランスが崩れると、歯に不適切な力がかかり、歯並びが乱れます。
- 遺伝的要因:顎の大きさや形は遺伝的影響を受けることがあります。
- 悪習癖:指しゃぶりや舌突出癖などの癖も歯並びに影響します。
プレオルソは特に口呼吸や筋肉バランスの乱れによる歯列不正に効果的です。マウスピースを装着することで口周りの筋肉のバランスを整え、顎の正しい成長を促します。
早期に対応することで、将来的な矯正治療の必要性を減らしたり、治療期間を短縮したりすることができる可能性があります。
-
-
プレオルソ矯正の費用と通院頻度〜船橋市でご検討中の方へ
-
-
-
プレオルソ矯正は、本格矯正と比較して費用負担が少ないのが特徴です。当院での費用体系は以下のとおりです。
-
項目 費用(税込) 期間・通院目安 契約・内容詳細 初回の年間契約 38,500円/年(装置代込み) 約1年間/2ヶ月に1回の通院推奨 ・プレオルソ装置+初期トレーニング込み
・マウスピースの装着練習・使用確認
・来院ごとに歯列の改善に合わせた調整
・通院時のトレーニング・調整費:0〜300円
・遠方の方は通院ペース応相談次年度の再契約 33,000円/年(新しい装置代込み) 2年目以降も1年ごと更新 ・新しいマウスピースに交換して継続治療
・改善が見られた場合は再契約不要
・再契約は歯列の状態を確認後に判断
・通院時の調整費:0〜300円装置の交換・衛生管理 ― 1年使用で交換 ・素材(ポリウレタン)は1年で劣化・細かな傷が発生
・細菌繁殖予防のため1年ごとに交換必須
・清潔保持のため洗浄剤の併用を推奨通院時の内容 ― 約2ヶ月に1回 ・口腔周囲筋を鍛えるトレーニング指導
・装置の調整による効果の最適化
・定期チェックで成長段階に合わせた管理プレオルソ矯正と医療費控除の対象条件
項目 内容・ポイント 対象の可能性 保険適用外でも、機能改善を目的とした矯正治療であれば医療費控除の対象となる場合があります。 対象と認められやすいケース ・咀嚼(かむ)機能の改善
・発音機能の改善
・口呼吸の改善や鼻呼吸への誘導
・顎の成長を整える機能的治療など対象外のケース ・見た目の改善など審美目的の矯正治療
・美容要素が強い場合控除の条件 その年(1月1日〜12月31日)に支払った医療費が
10万円または所得の5%を超えること。必要書類 ・領収書
・診療明細書
・(必要に応じて)医療費控除証明書申請方法 確定申告時に書類を提出または保管。
国税庁サイトや税務署窓口でオンライン申告も可能。医院でのサポート 医療費控除の対象である旨を証明書として発行してくれる医院もあり。
事前に確認しておくと安心です。 -
-
年収別:医療費控除を受けた場合の実質負担シミュレーション
年収(目安) 医療費控除による還付率(目安) 初年度費用:38,500円の場合の実質負担額 次年度費用:33,000円の場合の実質負担額 年収300万円前後 約5%(所得税+住民税) 約36,600円(▲1,900円) 約31,400円(▲1,600円) 年収500万円前後 約10% 約34,600円(▲3,900円) 約29,700円(▲3,300円) 年収700万円前後 約15% 約32,700円(▲5,800円) 約28,000円(▲5,000円) 年収1000万円前後 約20% 約30,800円(▲7,700円) 約26,400円(▲6,600円) -
-
プレオルソ症例
プレオルソの一部症例をご紹介致します。
-
-
-
-
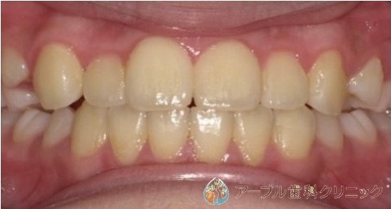
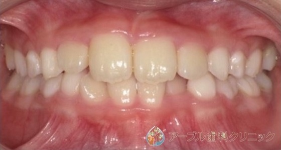
プレオルソ症例① 反対咬合:歯列矯正用咬合誘導装置(プレオルソ)

Before 
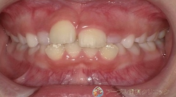
After 主訴 反対咬合の歯並びを治したい 診断名 反対咬合 年齢 7歳 治療期間 約8ヶ月 治療回数 6回 治療装置 歯列矯正用咬合誘導装置プレオルソマウスピース 治療費 ¥38,500 治療内容 使用状況の確認/航空周辺の筋力測定/使い方のトレーニング リスク・注意点 個人差あり/改善を保証するものではありません プレオルソ症例② 反対咬合:歯列矯正用咬合誘導装置(プレオルソ)

Before 
After 主訴 反対咬合の歯並びを治したい 診断名 反対咬合 年齢 8歳 治療期間 約3ヶ月 治療回数 1回 治療装置 歯列矯正用咬合誘導装置プレオルソマウスピース 治療費 ¥38,500 治療内容 使用状況の確認/航空周辺の筋力測定/使い方のトレーニング リスク・注意点 個人差あり/改善を保証するものではありません プレオルソ症例③ 叢生:歯列矯正用咬合誘導装置(プレオルソ)

Before 
After 主訴 前歯の歯並びを治したい 診断名 叢生 年齢 7歳 治療期間 12ヶ月 治療回数 6回 治療装置 歯列矯正用咬合誘導装置プレオルソマウスピース 治療費 ¥38,500 治療内容 使用状況の確認/航空周辺の筋力測定/使い方のトレーニング リスク・注意点 個人差あり/改善を保証するものではありません プレオルソ症例④ 叢生:歯列矯正用咬合誘導装置(プレオルソ)

Before 
After 主訴 八重歯の歯並びを改善したい 診断名 叢生 年齢 10歳 治療期間 約12ヶ月 治療回数 6回 治療装置 歯列矯正用咬合誘導装置プレオルソマウスピース 治療費 ¥38,500 治療内容 使用状況の確認/航空周辺の筋力測定/使い方のトレーニング リスク・注意点 個人差あり/改善を保証するものではありません プレオルソ症例⑤ 反対咬合:歯列矯正用咬合誘導装置(プレオルソ)

Before 
After 主訴 前歯の反対の歯並びを治したい 診断名 反対咬合 年齢 7歳 治療期間 約12ヶ月 治療回数 5回 治療装置 歯列矯正用咬合誘導装置プレオルソマウスピース 治療費 ¥38,500 治療内容 使用状況の確認/航空周辺の筋力測定/使い方のトレーニング リスク・注意点 個人差あり/改善を保証するものではありません プレオルソ症例⑥ 叢生:歯列矯正用咬合誘導装置(プレオルソ)

Before 
After 主訴 前歯のガタガタを治したい 診断名 叢生 年齢 8歳 治療期間 約12ヶ月 治療回数 9回 治療装置 歯列矯正用咬合誘導装置プレオルソマウスピース 治療費 ¥38,500 治療内容 使用状況の確認/航空周辺の筋力測定/使い方のトレーニング リスク・注意点 個人差あり/改善を保証するものではありません プレオルソ症例⑦ 捻転:歯列矯正用咬合誘導装置(プレオルソ)

Before 
After 主訴 前歯のねじれを改善したい 診断名 捻転 年齢 9歳 治療期間 約2年(矯正治療継続中) 治療回数 17回(2ヶ月ごと) 治療装置 歯列矯正用咬合誘導装置プレオルソマウスピース 治療費 1年目 ¥38,500 / 2年目 ¥33,000
当院ではプレオルソマウスピースの使用期間を【約1年】と定めております。 装置はポリウレタン製の素材となっており、1年間使用していると表面に細かな傷が発生します。 マウスピース洗浄剤を使用して清潔に保っていても、細かな傷に【細菌が繁殖】しやすくなるため、お子様の口腔内を清潔に保つ関係上、装置を使用できる状態であったとしても細菌感染症予防のため【約1年で交換】とさせて頂いております。また、プレオルソマウスピースの素材は【1年使用すると劣化】し、装置による効果が正しく得られない可能性があるため,【約1年ごと】に新しいマウスピースに交換することが推奨されています。
治療内容 使用状況の確認/航空周辺の筋力測定/使い方のトレーニング リスク・注意点 個人差あり/改善を保証するものではありません プレオルソ症例⑧ 叢生:歯列矯正用咬合誘導装置(プレオルソ)

Before 
After 主訴 前歯のガタガタを治したい 診断名 叢生 年齢 9歳 治療期間 約4ヶ月 治療回数 3回 治療装置 歯列矯正用咬合誘導装置プレオルソマウスピース 治療費 ¥38,500 治療内容 使用状況の確認/航空周辺の筋力測定/使い方のトレーニング リスク・注意点 個人差あり/改善を保証するものではありません プレオルソ症例⑨ 上顎前突:歯列矯正用咬合誘導装置(プレオルソ)

Before 
After 主訴 前歯が出ているのを治したい 診断名 上顎前突 年齢 9歳 治療期間 約12ヶ月 治療回数 8回 治療装置 歯列矯正用咬合誘導装置プレオルソマウスピース 治療費 ¥38,500 治療内容 使用状況の確認/航空周辺の筋力測定/使い方のトレーニング リスク・注意点 個人差あり/改善を保証するものではありません プレオルソ症例⑩ 反対咬合:歯列矯正用咬合誘導装置(プレオルソ)

Before 
After 主訴 反対咬合(受け口)を治してほしい 診断名 反対咬合 年齢 9歳 治療期間 約4ヶ月 治療回数 3回(月1回ペース) 治療装置 歯列矯正用咬合誘導装置プレオルソマウスピース 治療費 ¥38,500 治療内容 使用状況の確認/航空周辺の筋力測定/使い方のトレーニング リスク・注意点 個人差あり/改善を保証するものではありません 
-
-
習志野市の主要エリアから当院までのアクセス
電車でのアクセス(船橋市内主要駅から)
| 出発駅(エリア) | 利用路線/ルート | 所要時間(目安) | 備考 |
|---|---|---|---|
| 船橋駅(JR総武線) | JR総武線各停または快速 → 津田沼駅 | 約5〜6分 | アクセス◯ 乗換なし |
| 西船橋駅(JR・東京メトロ・東葉高速) | JR総武線で津田沼方面へ乗換1回 | 約10〜12分 | 便数多く通勤・通学にも便利 |
| 京成船橋駅(京成本線) | 京成本線 → 京成津田沼駅 → 新京成線 → 新津田沼駅 | 約8〜10分 | 京成沿線からアクセスしやすい |
| 南船橋駅(JR京葉線) | 京葉線 → 西船橋で総武線へ乗換 → 津田沼駅 | 約12〜14分 | ららぽーとTOKYO-BAYからも近い |
| 東船橋駅(JR総武線) | JR総武線で1駅 → 津田沼駅 | 約2〜3分 | 電車・徒歩ともにアクセス最短クラス |
電車アクセスのポイント(習志野市から)
-
- 船橋市内の主要駅(船橋・西船橋・京成船橋・南船橋・東船橋)からも15分圏内で来院可能。
JR総武線・京成本線・JR京葉線の各路線が交わるため、船橋全域からスムーズにアクセスできます。 - JR船橋駅からは約5分の直通ルート。
総武線快速・各駅停車のどちらも津田沼駅まで乗り換えなしで到着可能。 - 西船橋駅・南船橋駅方面からもアクセス良好。
JR・東京メトロ・京葉線など複数の路線を利用でき、通勤や通学途中にも立ち寄りやすい立地です。 - 京成線・東葉高速線の利用者にも便利。
京成船橋駅や東海神駅などからは京成本線経由または総武線乗換で10〜15分程度。
駅からはLoharu津田沼(ロハル津田沼)2階まで徒歩約3分で到着します。
- 船橋市内の主要駅(船橋・西船橋・京成船橋・南船橋・東船橋)からも15分圏内で来院可能。
車でのアクセス(船橋市内主要エリアから)
| 出発エリア | 主なルート | 所要時間 | 駐車・送迎情報 |
|---|---|---|---|
| 船橋駅周辺(本町エリア) | 国道14号(千葉街道)→ 谷津交差点方面 | 約10〜12分(約3km) | Loharu津田沼専用駐車場利用可(提携コインPあり) |
| 西船橋・原木中山エリア | 京葉道路 → 谷津船橋IC → 津田沼方面へ | 約12〜15分 | 駐車券提示でサービスあり(詳細は受付) |
| 南船橋・若松エリア | 県道15号 → 谷津方面 → 津田沼駅南口方面 | 約15分前後 | 送迎スペースあり(Loharu津田沼正面) |
| 飯山満・前原エリア | 県道69号線(船橋習志野線)経由 | 約15〜20分 | 提携駐車場・駐輪場あり |
| 船橋法典・行田エリア | 京葉道路または船橋競馬場経由 | 約20分前後 | 大型駐車場・タイムズ提携可 |
車アクセスのポイント(船橋市から)
-
- 船橋市中心部から津田沼までは約10〜15分圏内。
国道14号(千葉街道)や県道69号(船橋習志野線)を利用すれば、
渋滞の少ない時間帯なら10分程度でアーブル歯科クリニック(Loharu津田沼)へ到着できます。 - 主要エリアごとにアクセスルートが明確。
船橋駅・京成船橋駅周辺からは「船橋競馬場方面 → 谷津交差点経由」、
西船橋方面からは「京葉道路 → 谷津船橋IC → 津田沼方面」が最短ルートです。 - 駐車場完備・1時間無料サービスあり。
Loharu津田沼立体駐車場および提携コインパーキングが利用可能。
受付で駐車券を提示すると最大1時間無料のサービス券を発行しています。
ご家族送迎・お子様連れにも安心。
1階ロータリーでの一時停車OK、バリアフリー対応でベビーカーのまま来院可能。
船橋市内から小児矯正・プレオルソ治療に通うご家庭にも負担が少ない環境です。 - 船橋市中心部から津田沼までは約10〜15分圏内。
プレオルソに関するよくある質問
-
-
プレオルソ治療について、保護者の方からよくいただく質問をいくつかご紹介します。
Q1: プレオルソはどのくらいの期間使用するものですか?
A1: 基本的には1年間の使用を想定しています。1年後に歯列の状態を確認し、改善が見られれば終了、さらに継続が必要な場合は再契約となります。装置自体は衛生上の理由から1年で交換が必要です。
Q2: 学校でも装着する必要がありますか?
A2: いいえ、プレオルソは家にいる時間(日中1時間以上)と就寝時のみの使用で効果があります。学校に持っていく必要はありません。
Q3: 痛みはありますか?
A3: プレオルソはシリコン素材の柔らかいマウスピースなので、痛みはほとんどありません。従来のワイヤー矯正に比べて、お子さんの負担は大幅に軽減されます。
Q4: プレオルソで完全に歯並びは治りますか?
A4: プレオルソは軽度から中程度の歯列不正に効果があります。歯列不正が強い場合や、より細かな歯の位置調整が必要な場合は、本格矯正が必要になることもあります。個々のケースによって効果は異なります。
Q5: プレオルソ後に本格矯正が必要になった場合の費用は?
A5: プレオルソから本格矯正に移行する場合、矯正料金の割引が適用されます。具体的な費用は、選択する矯正方法によって異なりますが、330,000円〜440,000円(税込)となります。
まとめ:船橋市で注目のプレオルソでお子さんの健やかな成長と早期の対応を
プレオルソ治療は、痛みが少なく、取り外しができ、費用負担も比較的軽いという多くのメリットがあります。特に5〜10歳の成長期に早めに始めることで、顎の正常な成長を促し、将来の複雑な矯正治療を回避できる可能性が高まります。
お子さんの歯並びや口呼吸などが気になる方は、まずは無料矯正相談にお越しください。当院では、お子さん一人ひとりの状態に合わせた最適な治療プランをご提案いたします。船橋市主要エリアからのアクセスも良好で通いやすい当院でプレオルソ治療を行い、お子さんの明るい未来をサポートしましょう。
詳しい情報や無料相談のご予約は、アーブル歯科クリニックのページをご覧いただくか、お電話でお問い合わせください。お子さんの健やかな成長のために、早めの対応をおすすめします。

著者情報
- アーブル歯科クリニック 院長 田中 雄一
-
略歴
- 2007年日本大学松戸歯学部卒業
- 2007年日本大学松戸歯学部附属病院 臨床研修医
- 2008年~2014年一般開業医勤務
- 2014年アーブル歯科クリニック開院
-
所属団体
- 日本大学松戸歯学部有床義歯補綴学講座 非常勤
- 日本口腔インプラント学会
- 日本顎咬合学会
- 日本臨床歯周病学会
- AICインプラント専門医
- BPSデンチャークリニカル 認定医
- スウェーデン歯科学会
- 口腔感染症予防外来認定医
- POIC研究会 ホームケアアドバイザー認定
- 私立アスクかなでのもり第二保育園 嘱託医
- ブレーメン津田沼保育園 嘱託医
- リトルガーデンインターナショナルスクール新習志野校 嘱託医
- クニナ奏の杜保育園 嘱託医
- 習志野市立谷津小学校 学校歯科医
-
矯正医
- 田中 慶子
-
所属団体
- 日本矯正歯科学会 認定医
- インビザライン 認定医





























