八千代市で注目のプレオルソ矯正とは?子どもの歯並びを変える新しい選択肢
子どもの歯並びや口呼吸が気になっていませんか?「まだ乳歯だから」と様子を見ているうちに、永久歯の生える場所がなくなってしまうかもしれません。実は5〜10歳という時期は、お子さんの歯並びを整えるための絶好のチャンスなのです。
アーブル歯科クリニックでは、子どもの歯並びと口呼吸を同時に改善できる「プレオルソ矯正」を提供しています。この記事では、プレオルソの特徴やメリット、費用、そして実際の治療効果について詳しくご紹介します。
今回は、プレオルソがどのようなものか、どんな効果があるのか、そして八千代市からもアクセスしやすい当院での治療について詳しくご紹介します。

- プレオルソとは?〜八千代市で注目の小児矯正
- 八千代市で注目のプレオルソ矯正のメリット〜従来の矯正との違い
- 八千代市で注目のプレオルソのデメリットと適応について
- プレオルソ矯正と小児本格矯正について〜八千代市でご検討中の方へ
- プレオルソ矯正の費用と通院頻度〜八千代市でご検討中の方へ
- プレオルソ症例
- 八千代市の主要エリアから当院までのアクセス
- プレオルソに関するくある質問
- まとめ:八千代市の子どもの笑顔と健康を守るプレオルソ矯正
当院はママと子供の歯医者さん加盟医院です
ママとこどものはいしゃさんのロゴマークは厳しい審査基準をクリアした医院だけがつけている「安心・安全の歯科医院のシンボルマーク」です。
プレオルソとは〜八千代市で注目の小児矯正
プレオルソとは、5〜10歳の子どもを対象とした「歯列矯正用咬合誘導装置」のことです。シリコン素材でできた柔らかいマウスピース型の矯正装置で、従来のワイヤー矯正とは大きく異なります。近年、八千代市でも「子どもが嫌がらない矯正法」としてプレオルソを導入する歯科医院が増えています。
最大の特徴は、歯を強制的に動かすのではなく、口腔周囲の筋肉のバランスを整えることで、自然に歯並びを改善していく点にあります。特に口呼吸から鼻呼吸への改善を促し、顎の正しい成長を促進させる効果があります。
プレオルソは取り外しができるため、食事の時には外すことができます。また、家にいる時と寝る時だけ使用するので、学校生活に支障をきたすこともありません。痛みもほとんどないため、お子さんの負担が少ないのも大きなメリットです。
顎の成長期である5〜10歳頃までが適応年齢となっており、この時期に始めることで高い効果が期待できます。顎の成長が止まった11歳、12歳頃には効果が出にくくなるため、早めの対応がおすすめです。
-
-
八千代市で注目のプレオルソ矯正のメリット〜従来の矯正との違い
-
プレオルソ矯正には、従来の矯正治療にはない様々なメリットがあります。お子さんにとっても保護者の方にとっても、負担の少ない矯正方法といえるでしょう。
1. 柔らかく取り外しができるマウスピース式
プレオルソはシリコン素材でできているため、装着時の痛みや違和感が少なく、お子さんでも抵抗なく使用できます。また、取り外しができるので食事の際に外せば、食べ物が装置に詰まる心配もありません。
これにより虫歯のリスクを減らすことができ、口腔内を清潔に保ちやすいというメリットもあります。
2. 学校に持っていく必要がない
プレオルソは家にいる時と寝る時だけ使用するため、学校生活に影響を与えません。お子さんが友達の目を気にすることなく、自然に矯正治療を続けられます。
使用時間は日中1時間程度と就寝時のみなので、習い事や遊びの時間も確保できます。
3. 口周りの筋肉バランスを整え、口呼吸から鼻呼吸へ改善
プレオルソを装着することで、口周りの筋肉のバランスが整い、「お口ポカン」の改善につながります。口呼吸から鼻呼吸への改善は、虫歯や歯周病のリスク低減だけでなく、アレルギー症状の緩和や睡眠の質の向上にも効果があります。
鼻呼吸ができるようになると、集中力が高まり、お子さんの学習能力向上にもつながる可能性があります。
4. 将来の永久歯のためのスペース確保
プレオルソによって顎の成長が促進されると、将来永久歯が生えてくるためのスペースが確保できます。これにより、歯並びの悪化を防ぎ、将来的に本格的な矯正治療が必要なくなる可能性も高まります。
結果として、矯正治療費の負担を減らすことにもつながるのです。
-
八千代市で注目のプレオルソのデメリットと適応について
-
-
-
プレオルソ矯正には多くのメリットがありますが、いくつかのデメリットや適応限界もあります。治療を検討される際は、これらの点も理解しておくことが大切です。
1. マウスピースを装着しないと効果がない
プレオルソは取り外しができる装置のため、お子さんが指示通りに装着しないと効果が出ません。特に小さなお子さんの場合、保護者の方のサポートが必要になることがあります。
装着時間を守ることが、治療成功の鍵となります。
2. 細かな歯の移動はできない
プレオルソは口腔周囲の筋肉のバランスを改善し、顎の成長を促進させることで歯列を拡大するものです。そのため、個々の歯を細かく動かすような精密な矯正はできません。
厳密な歯並びの改善が必要な場合は、小児の本格矯正を行う必要があります。
3. 顎の成長期を過ぎると効果が出ない
プレオルソは顎の成長を促進させる装置のため、顎の成長期である5〜10歳頃までが適応となります。顎の成長が止まった11歳、12歳頃には効果が期待できません。
また、歯列不正が強い場合は、プレオルソでは歯の移動距離が少ないため、本格矯正治療が必要になることもあります。

プレオルソ矯正と小児本格矯正について〜八千代市でご検討中の方へ
プレオルソでは改善しない歯列不正がある場合や、年齢的にプレオルソの適応でない場合は、小児本格矯正を検討する必要があります。
小児本格矯正の目的
小児本格矯正の目的は、永久歯が生え変わる前に歯列を拡大して、永久歯の生えるスペースを確保することです。顎の成長期である10歳頃までに歯列を拡大することができれば、将来の歯並びの悪化を防ぎ、抜歯矯正にならないようにするメリットがあります。
当院で提供している矯正方法
当院では、プレオルソ以外にも、8歳頃から始める小児本格矯正として、様々な矯正方法を提供しています。
- カスタムメイド型マウスピース矯正(インビザライン):取り外し式の透明なマウスピース矯正です。
- 拡大床:取り外し式の装置で、家にいる時だけ使用します。
これらは出っ歯、受け口、交差咬合、鋏状咬合、過蓋咬合、開咬、叢生(八重歯・乱杭歯)、空隙歯列(すきっ歯)などの歯列不正に対応しています。
小児本格矯正の費用と期間
小児本格矯正の費用は、プランによって異なりますが、330,000円〜495,000円(税込)となっています。治療期間は約1年半から2年半で、その後、永久歯が生え揃うまで経過観察を行います。矯正相談は無料で行っていますので、お気軽にご相談ください。精密検査は33,000円(税込)となります。
-
-
拡大床 説明動画
インビザラインファースト 説明動画
-
-
プレオルソ矯正 拡大床(かくだいしょう) 小児本格矯正 適応年齢 5〜10歳頃のわずかな歯列不正に適応。簡易で始めやすい治療法。 6〜11歳頃の混合歯列期に適応。永久歯が生える前の「顎の幅不足」や「歯の重なり」に対応。 7〜12歳頃の中等度〜重度の歯列不正に適応。しっかり治す矯正法。 目的・特徴 「機能矯正」と呼ばれ、口腔周囲の筋肉のバランスを整えて顎の成長を正す。細かい歯の移動は行わない。 「顎の幅を広げる」ことを目的とした装置で、歯列弓を拡大し永久歯が並ぶスペースを確保する。主に上顎に使用。 歯を直接動かし、正確な歯並びを作る。永久歯が正しい位置に生えるスペースを確保する。 装置の種類・使用方法 シリコン製のマウスピースタイプ。
日中1時間以上+就寝時に使用。取り外し式のアクリル製装置。中央にスクリューがあり、週1〜2回ネジを回して少しずつ拡大する。
日中も装着推奨(食事・歯磨き時のみ取り外し)。固定式装置やワイヤー矯正、小児用インビザラインなど。
装着方法や管理は医院により異なる。治療効果 歯列アーチを広げ、顎の正しい成長を促す。
歯列の状態により効果に個人差あり。歯列の幅を広げ、叢生(重なり)や交叉咬合を予防。
将来的な本格矯正を簡略化できる場合もある。前歯から奥歯まで1本単位で整え、理想的な歯並びへ。
長期的に安定した結果が得られる。治療期間の目安 約1〜2年。成長期に合わせて使用継続。 約1〜1年半。拡大後は保定装置を使用して安定化を図る。 約2〜3年。永久歯列が完成するまで管理。

-
プレオルソ矯正の費用と通院頻度〜八千代市でご検討中の方へ
-
-
-
プレオルソ矯正は、本格矯正と比較して費用負担が少ないのが特徴です。当院での費用体系は以下のとおりです。
-
-
-
年収別:医療費控除を受けた場合の実質負担シミュレーション
-
-
年収(目安) 医療費控除による還付率(目安) 初年度費用:38,500円の場合の実質負担額 次年度費用:33,000円の場合の実質負担額 年収300万円前後 約5%(所得税+住民税) 約36,600円(▲1,900円) 約31,400円(▲1,600円) 年収500万円前後 約10% 約34,600円(▲3,900円) 約29,700円(▲3,300円) 年収700万円前後 約15% 約32,700円(▲5,800円) 約28,000円(▲5,000円) 年収1000万円前後 約20% 約30,800円(▲7,700円) 約26,400円(▲6,600円) -
-
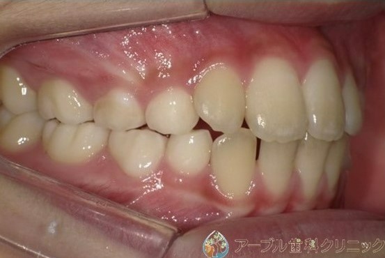
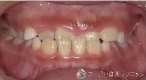
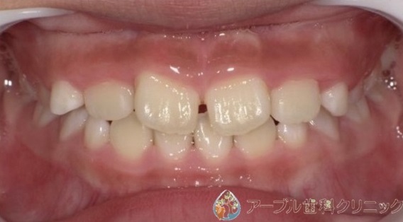
プレオルソ症例
-
-
-
- プレオルソの一部症例をご紹介致します。
-
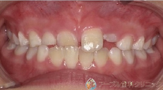
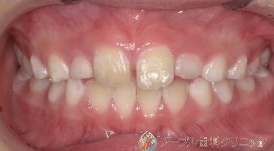
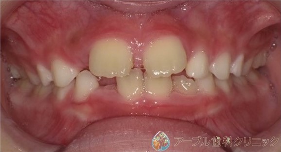
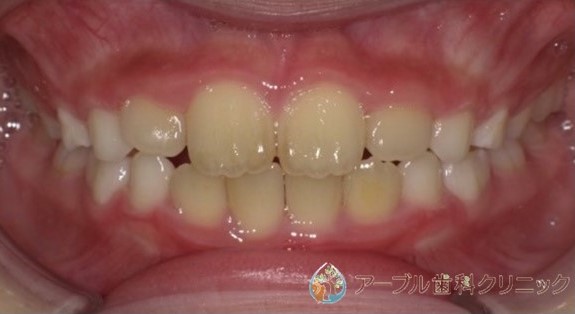
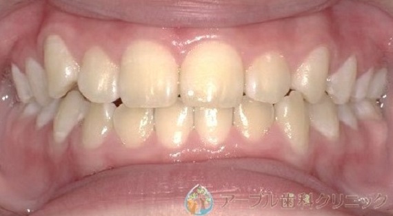
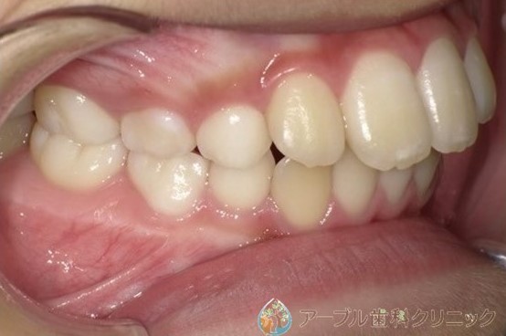
プレオルソ症例 反対咬合:歯列矯正用咬合誘導装置(プレオルソ)

Before 
After 主訴 反対咬合の歯並びを治したい 診断名 反対咬合 年齢 7歳 治療期間 約4ヶ月/歯列改善期間は18ヶ月 治療回数 11回 治療装置 歯列矯正用咬合誘導装置プレオルソマウスピース 治療費 1年目¥38,500/2年目¥33,000 治療内容 使用状況の確認/航空周辺の筋力測定/使い方のトレーニング リスク・注意点 個人差あり/改善を保証するものではありません プレオルソ症例 一部反対咬合:歯列矯正用咬合誘導装置(プレオルソ)

Before 
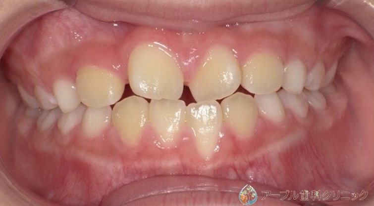
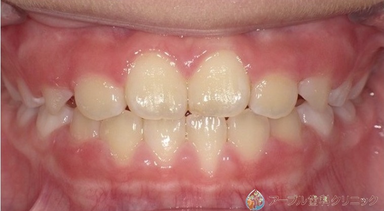
After 主訴 前歯の歯並びを治したい 診断名 一部反対咬合 年齢 7歳 治療期間 約1ヶ月 治療回数 1回 治療装置 歯列矯正用咬合誘導装置プレオルソマウスピース 治療費 ¥38,500 治療内容 使用状況の確認/航空周辺の筋力測定/使い方のトレーニング リスク・注意点 個人差あり/改善を保証するものではありません プレオルソ症例 捻転:歯列矯正用咬合誘導装置(プレオルソ)

Before 
After 主訴 前歯の歯並びを治したい 診断名 捻転 年齢 9歳 治療期間 10ヶ月 治療回数 6回 治療装置 歯列矯正用咬合誘導装置プレオルソマウスピース 治療費 ¥38,500 治療内容 使用状況の確認/航空周辺の筋力測定/使い方のトレーニング リスク・注意点 個人差あり/改善を保証するものではありません プレオルソ症例 反対咬合:歯列矯正用咬合誘導装置(プレオルソ)

Before 
After 主訴 受け口を改善したい 診断名 反対咬合 年齢 6歳 治療期間 約8ヶ月 治療回数 8回 治療装置 歯列矯正用咬合誘導装置プレオルソマウスピース 治療費 ¥38,500 治療内容 使用状況の確認/航空周辺の筋力測定/使い方のトレーニング リスク・注意点 個人差あり/改善を保証するものではありません プレオルソ症例 叢生・反対咬合:歯列矯正用咬合誘導装置(プレオルソ)

Before 
After 主訴 歯のガタガタと受け口を治したい 診断名 叢生・反対咬合 年齢 7歳 治療期間 約9ヶ月 治療回数 9回 治療装置 歯列矯正用咬合誘導装置プレオルソマウスピース 治療費 ¥38,500 治療内容 使用状況の確認/航空周辺の筋力測定/使い方のトレーニング リスク・注意点 個人差あり/改善を保証するものではありません プレオルソ症例 上顎前突(出っ歯):歯列矯正用咬合誘導装置(プレオルソ)

Before 
After 主訴 出っ歯を治したい 診断名 上顎前突 年齢 7歳 治療期間 約18ヶ月 治療回数 10回 治療装置 歯列矯正用咬合誘導装置プレオルソマウスピース 治療費 1年目¥38,500/2年目¥33,000 治療内容 使用状況の確認/航空周辺の筋力測定/使い方のトレーニング リスク・注意点 個人差あり/改善を保証するものではありません プレオルソ症例 捻転:歯列矯正用咬合誘導装置(プレオルソ)

Before 
After 主訴 前歯のねじれを改善したい 診断名 捻転 年齢 9歳 治療期間 約2年(矯正治療継続中) 治療回数 17回(2ヶ月ごと) 治療装置 歯列矯正用咬合誘導装置プレオルソマウスピース 治療費 1年目 ¥38,500 / 2年目 ¥33,000
当院ではプレオルソマウスピースの使用期間を【約1年】と定めております。 装置はポリウレタン製の素材となっており、1年間使用していると表面に細かな傷が発生します。 マウスピース洗浄剤を使用して清潔に保っていても、細かな傷に【細菌が繁殖】しやすくなるため、お子様の口腔内を清潔に保つ関係上、装置を使用できる状態であったとしても細菌感染症予防のため【約1年で交換】とさせて頂いております。また、プレオルソマウスピースの素材は【1年使用すると劣化】し、装置による効果が正しく得られない可能性があるため,【約1年ごと】に新しいマウスピースに交換することが推奨されています。
治療内容 使用状況の確認/航空周辺の筋力測定/使い方のトレーニング リスク・注意点 個人差あり/改善を保証するものではありません プレオルソ症例 叢生:歯列矯正用咬合誘導装置(プレオルソ)

Before 
After 主訴 前歯のガタガタを治したい 診断名 叢生 年齢 9歳 治療期間 約4ヶ月 治療回数 3回 治療装置 歯列矯正用咬合誘導装置プレオルソマウスピース 治療費 ¥38,500 治療内容 使用状況の確認/航空周辺の筋力測定/使い方のトレーニング リスク・注意点 個人差あり/改善を保証するものではありません プレオルソ症例 上顎前突:歯列矯正用咬合誘導装置(プレオルソ)

Before 
After 主訴 前歯が出ているのを治したい 診断名 上顎前突 年齢 9歳 治療期間 約12ヶ月 治療回数 8回 治療装置 歯列矯正用咬合誘導装置プレオルソマウスピース 治療費 ¥38,500 治療内容 使用状況の確認/航空周辺の筋力測定/使い方のトレーニング リスク・注意点 個人差あり/改善を保証するものではありません プレオルソ症例 反対咬合:歯列矯正用咬合誘導装置(プレオルソ)

Before 
After 主訴 反対咬合(受け口)を治してほしい 診断名 反対咬合 年齢 9歳 治療期間 約4ヶ月 治療回数 3回(月1回ペース) 治療装置 歯列矯正用咬合誘導装置プレオルソマウスピース 治療費 ¥38,500 治療内容 使用状況の確認/航空周辺の筋力測定/使い方のトレーニング リスク・注意点 個人差あり/改善を保証するものではありません 
-
鎌ヶ谷市の主要エリアから当院までのアクセス
電車でのアクセス(八千代市内主要駅から)
| 出発駅(エリア) | 利用路線/ルート | 所要時間(目安) | 備考 |
|---|---|---|---|
| 八千代台駅(京成本線) | 京成本線 → 京成津田沼駅で新京成線に乗換 → 新津田沼駅下車 | 約25〜30分 | 京成沿線からの乗換1回でスムーズ。アクセスしやすいルートです。 |
| 八千代中央駅(東葉高速鉄道) | 東葉高速鉄道 → 北習志野駅で新京成線乗換 → 新津田沼駅下車 | 約20〜25分 | 東葉高速×新京成ルートで安定した通院が可能。 |
| 村上駅(東葉高速鉄道) | 東葉高速鉄道 → 北習志野駅で新京成線乗換 → 新津田沼駅下車 | 約25〜28分 | 通勤・通学にも便利。乗換1回でアクセスしやすい。 |
| 八千代緑が丘駅(東葉高速鉄道) | 東葉高速鉄道 → 北習志野駅で新京成線乗換 → 新津田沼駅下車 | 約27〜30分 | モール周辺からもアクセス良好。新京成沿線で快適。 |
| 勝田台駅(京成本線・東葉高速鉄道) | 京成本線 or 東葉高速鉄道 → 北習志野駅で新京成線乗換 → 新津田沼駅下車 | 約28〜32分 | 八千代市北部からも通いやすく、混雑が少ない時間帯も多い。 |
電車アクセスのポイント(八千代市から)
-
-
八千代市全域から津田沼までは電車で約25〜35分圏内。
東葉高速鉄道や京成本線を利用すれば、北習志野駅や京成津田沼駅で乗換1回とスムーズにアクセスできます。 - 八千代中央駅・八千代緑が丘駅・村上駅からは、東葉高速鉄道で北習志野駅経由→新津田沼駅へ。
乗換1回でアクセスできるため、小児矯正やプレオルソ治療など定期通院にも負担が少ないルートです。 - 京成本線の八千代台駅・勝田台駅方面からも、京成津田沼駅で新京成線に乗換すれば新津田沼駅まで約25〜30分。
通勤・通学時間帯でも本数が多く、時間を選びやすいのが特徴です。 - 新津田沼駅から徒歩3分の「Loharu津田沼」内にクリニックを併設。
商業施設内のため、雨の日でも快適にご来院いただけます。
-
車でのアクセス(八千代市内主要エリアから)
| 出発エリア | 主なルート | 所要時間 | 駐車・送迎情報 |
|---|---|---|---|
| 八千代台駅周辺(市南部エリア) | 県道69号(船橋習志野線)→ 船橋市役所前通過 → 津田沼駅南口方面 | 約30〜35分 | 京成線沿線からの定番ルート。交通量が多い時間帯でも比較的スムーズ。 |
| 八千代中央駅周辺(市中心部) | 県道57号(千葉鎌ヶ谷松戸線)→ 北習志野経由 → 津田沼方面 | 約25〜30分 | 最短ルートのひとつ。混雑が少なく、定期通院にも便利。 |
| 八千代緑が丘・村上エリア(市西部) | 東葉高速道路沿い → 北習志野 → 前原・谷津方面経由 | 約25〜30分 | 東葉高速エリアからアクセス良好。休日も安定して走行可能。 |
| 勝田台エリア(市北部) | 国道296号(成田街道)→ 前原・谷津方面 → Loharu津田沼 | 約30〜35分 | 成田街道を直進するだけのわかりやすいルート。道幅も広く運転しやすい。 |
| 米本・大和田新田エリア(市東部) | 県道8号(船橋我孫子線)→ 船橋方面 → 谷津交差点経由 | 約30〜35分 | 八千代市東側からの安定ルート。ナビ設定は「Loharu津田沼」でスムーズ |
車アクセスのポイント(鎌ヶ谷市から)
-
- 八千代市全域から津田沼までは車で約25〜35分圏内。
- 県道57号(千葉鎌ヶ谷松戸線)や国道296号(成田街道)を利用すれば、
幹線道路中心のスムーズなルートで、初めての方でもわかりやすい道順です。 - 八千代中央・八千代緑が丘エリアからは北習志野経由が最短ルート。
東葉高速沿線から津田沼方面へ抜けるルートで、渋滞が少なく安定した走行が可能。 - 勝田台・村上エリアからは国道296号(成田街道)経由が便利。
前原・谷津方面へ直進するだけのシンプルな道順で、所要時間は約30分前後。道幅が広く見通しも良いため、運転に不慣れな方でも安心です。
八千代台エリアからは県道69号(船橋習志野線)経由がおすすめ。 船橋市役所前を通過して津田沼駅南口方面へ向かうルートで、通勤時間帯でも比較的安定した流れがあり、送迎利用にも便利です。
- 八千代市全域から津田沼までは車で約25〜35分圏内。
プレオルソに関するよくある質問
-
プレオルソ矯正について、保護者の方からよくいただく質問にお答えします。
Q1: プレオルソはどのくらいの期間使用するものですか?
A1: プレオルソは基本的に1年間の契約となっています。1年間で歯列不正が改善すれば再契約の必要はありませんが、さらに改善が必要な場合は再契約となります。装置自体は衛生上の理由から1年で交換することが推奨されています。
Q2: プレオルソと本格矯正はどう違いますか?
A2: プレオルソは口腔周囲の筋肉のバランスを整えて顎が正しく成長した結果、歯列不正が治る方法です。細かい歯の調整はできません。一方、本格矯正は歯を直接動かして歯並びを改善する方法で、より複雑な歯列不正にも対応できます。
Q3: 子どもがプレオルソを装着してくれるか心配です
A3: プレオルソは痛みが少なく、取り外しが可能なため、従来の矯正装置よりも子どもが受け入れやすい傾向があります。また、家にいる時と寝る時だけの使用でよいため、学校生活に影響がないのも特徴です。それでも装着を嫌がる場合は、矯正歯科医師と相談しながら対応策を考えていくことが大切です。
Q4: 八千代市からアーブル歯科クリニックへのアクセスはどうですか?
A4: アーブル歯科クリニックは津田沼駅から徒歩5分の場所にあり、八千代市からも通いやすい立地です。診療時間は月・火・水・金が9:00-12:30、14:00-18:30、土曜は8:30-12:30、13:30-17:30、日曜は8:30-13:30で、休診日は木曜と祝日となっています。
Q5: プレオルソ以外の選択肢はありますか?
A5: はい、お子さまの歯列状態によっては、インビザライン、拡大床、クワドヘリックス+ワイヤー矯正などの本格矯正も選択肢となります。どの治療法が最適かは、矯正相談で専門医の診断を受けることをおすすめします。
まとめ:八千代市の子どもの笑顔と健康を守るプレオルソ矯正
プレオルソ矯正は、お子さんの歯並びと口呼吸を同時に改善できる画期的な治療法です。顎の成長期である5〜10歳という限られた時期にしかできない治療なので、気になる症状がある場合は早めの対応をおすすめします。
当院では、お子さん一人ひとりの状態に合わせた最適な治療プランをご提案しています。まずは無料の矯正相談からお気軽にご来院ください。
アーブル歯科クリニックは千葉県習志野市津田沼駅から徒歩5分の場所にあり、木曜・祝日以外は診療を行っています。お子さんの健やかな成長と美しい笑顔のために、専門的な矯正治療をご提供いたします。
詳しい情報や予約は、アーブル歯科クリニックのページをご覧いただくか、お電話でお問い合わせください。

著者情報
- アーブル歯科クリニック 院長 田中 雄一
-
略歴
- 2007年日本大学松戸歯学部卒業
- 2007年日本大学松戸歯学部附属病院 臨床研修医
- 2008年~2014年一般開業医勤務
- 2014年アーブル歯科クリニック開院
-
所属団体
- 日本大学松戸歯学部有床義歯補綴学講座 非常勤
- 日本口腔インプラント学会
- 日本顎咬合学会
- 日本臨床歯周病学会
- AICインプラント専門医
- BPSデンチャークリニカル 認定医
- スウェーデン歯科学会
- 口腔感染症予防外来認定医
- POIC研究会 ホームケアアドバイザー認定
- 私立アスクかなでのもり第二保育園 嘱託医
- ブレーメン津田沼保育園 嘱託医
- リトルガーデンインターナショナルスクール新習志野校 嘱託医
- クニナ奏の杜保育園 嘱託医
- 習志野市立谷津小学校 学校歯科医
-
矯正医
- 田中 慶子
-
所属団体
- 日本矯正歯科学会 認定医
- インビザライン 認定医




























